Many patients step into our practice with dreams of a brand new grin. Others are seeing us for their first dental appointment in years and looking to get their oral health back on track. Seeing these individuals walk out of our doors with their dream smile is the reason behind our mission here at Springbrook Family Dentistry. No matter your goals, we’re honored to be a part of your oral health journey. Take a look at our Before & After gallery to explore real patient stories!


This patient was unhappy with her discolored lower teeth. Following a course of KoR whitening, we were able to mask it with composite bonding, creating a seamless transition from her teeth to composite. Minimally time consuming and minimally invasive!


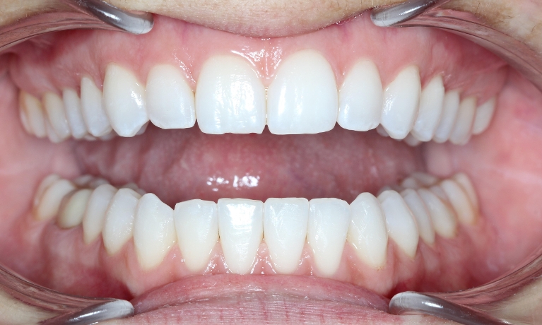
This patient was unhappy with how flat her teeth were after years of wear and grinding. She also felt her teeth were dark and translucent and previous whitening attempts did not help.With careful pre-planning, we were able to accomplish this with composite bonding in 4 hours and virtually no grinding of her natural teeth!
-min.webp)
-min.webp)
This patient came to our office complaining of her chipping and discolored bonding and looking for a long-term solution. We placed 4 porcelain restorations on her front teeth leading to a beautiful and natural look!
See next case for the treatment prior to this.
-min.webp)
-min.webp)
Prior to the Porcelain Restorations, we started by getting her teeth into proper alignment with Invisalign to make sure her new restorations last.

-min.webp)
This patient came to us feeling like she had "buck teeth." She had been in an accident many years ago that led to two bulky and poorly matched crowns on her front teeth. We started by better aligning to make sure our end result would be seamless. Then we replaced the two crowns with custom matched zirconia crowns that blend in perfectly with the rest of her teeth.


This patient's smile was two years in the making! August 2021 he came into the office with a tooth broken off at the gumline that needed to be replaced with an implant. Knowing we could not move the implant once placed, we decided it was time to correct his combination of severe crowding and spacing with Invisalign. This patient actually has a severe overbite but has adapted well to it over the years and did not want to go through surgery to correct it.
Once Invisalign treatment was complete he decided since he had come this far, let's get his smile as perfect as possible! So we continued on with KöR whitening to brighten his teeth and got them many shades lighter. We then used Bioclear composite bonding to close some "black triangles" that occurred following Invisalign treatment and to mask the discolored areas on his front teeth.
Finally, we restored the implant we placed months back on his upper left and his smile is now complete!


Despite years of orthodontics as a child, this patient has major relapse of her crowding. 10 months of Invisalign transformed her smile and made it so much easier for her to keep her teeth clean.


This case took about 5 months of treatment time and resulted in a great resolution of the patient's lower crowding.


We love the dramatic changes we get from KöR Whitening! 2 weeks of overnight use and a 1.5 hour in office visit got this patient from one of our darkest shades to one of the lightest!


Our patient completed a little over one year of Invisalign treatment followed by Kor Whitening at home and in-office treatment to finish with an absolutely gorgeous smile!


Dark teeth can be hard to get significantly whiter, which is why our office now offers KöR Whitening. This patient underwent 2 weeks of nighttime bleaching followed by a one hour in-office session to get a much brighter smile!


This patient present one day with a crown on his front tooth broken off at the gum line. Unfortunately the tooth was too broken to be fixed. We replaced the tooth with an implant as well as replacing the old unsightly crown next to it to really correct this patient's smile!


This patient had a lot of crowding of her lower front teeth along with chipped and misshapen teeth that occured due to the poor alignment of her teeth. She spent 5 months in Invisalign treatment after which we placed porcelain veneers on her four top front teeth. She was thrilled with the result and so are we!


This patient was in a car accident many years ago that caused her to lose many of her front teeth. While we would have loved to be able to place implants, she didn't have enough bone due to the accident. We placed a large bridge instead that allows the patient to smile naturally and be able to chew well as a great alternative.


This patient was congenitally missing his adult tooth so he'd been wearing a removable retainer since he was 7! Unfortunately he was not a great candidate for a dental implant so we made a Maryland bridge. This is a conservative method for replacing a tooth to minimize drilling the nearby teeth. While a Maryland bridge may only work in certain situations, they can turn out great with proper planning!


Our patient from East Aurora had already been through orthodontics but still felt his teeth looked too short. With virtually no drilling we were able to lengthen the teeth with bonded composite veneers.


Our patient unfortunately lost her tooth due to a fracture that split it completely in half. We were able to place an implant and restore it to blend in well with her natural teeth.


In just two hours we were able to replace all of our patient's old, discolored fillings on lower front teeth to well-matching resins that blend in with her teeth.


This young woman had one tooth longer than the other that her orthodontist was unable to correct. We bonded onto the shorter one to get two beautiful teeth of the same length!


Gaps between teeth are called diastemas. Eva from Elma requested we close her diastemas with bonding to give her a beautiful smile!


This patient had trauma to his teeth causing the two front middle teeth to die. The teeth were saved with root canals and bleaching the teeth from the inside brought them back to their normal appearance. No crowns or veneers necessary!


This was over a year's worth of work from start to finish. What you see are the repair of many broken down teeth with crowns. What you don't see are numerous root canals, fillings for cavities, and even a procedure to lengthen a tooth that otherwise couldn't have been saved.


Our patient originally came to us with only half of her front tooth present, losing the remaining part to decay. We placed an implant at the time of tooth extraction and 6 months later her final crown is in place and her smile is restored!


Our patient from East Aurora had lumineers placed about 10 years prior that she was no longer happy with. She desired a whiter, brighter smile and a more natural shape to her teeth. Her lumineers were replaced with porcelain veneers achieving her desired goals.


Many years ago our patient had a root canal done on her front tooth that was then restored with a silver filling. The filling permeated the tooth and stained the entire thing, making it much darker than her other teeth. By crowning this tooth we were able to match her other one almost perfectly!


Rebecca of East Aurora had gaps between her teeth and chips on the edges. We were able to use composite to repair the chips and fill in the gaps to give her a beautiful smile.


Kathleen from West Seneca had a broken filling on one of her upper molars. The filling was replaced with a more esthetic tooth-colored filling


Silver fillings were replaced with white composite fillings to give Jim from Holland a more natural appearance to his teeth


Orthodontics like braces and Invisalign can be a great way to close up spaces between the teeth, but sometimes when there are only a few minor spaces we can add resin bonding to close them up. We were able to close up this space yesterday in only 30 minutes for an instant result!
.jpg)
.jpg)
%20(1).jpg)
%20(1).jpg)
%20(1).jpg)
%20(1).jpg)

%20(1).jpg)
It took almost 7 years of discussion and planning to get to this point. Athena had both teeth that were too small in the front (called peg laterals) as well as a number of congenitally missing teeth. We worked with her orthodontist to make sure her teeth ended up in the best place possible to place an implant.
An oral surgeon then placed her implant for her canine and finally we restored the implant along with four porcelain veneers to fill in the spaces from her small teeth.
.jpg)
.jpg)
%20(1).jpg)
%20(1).jpg)
.jpeg)
.jpeg)
Our own hygienist, Adriana from East Aurora, went through Invisalign treatment to correct her spacing. We got a great result and she is now in permanent retainers to ensure the spacing does not return.


This patient spent his birthday with us to improve his smile! This patient was born with peg laterals, which are front teeth that don't grow to the normal size they should be.The process involved absolutely no drilling of his teeth! Composite was added, shaped and polished to build his teeth up to a normal size and close the gaps between his front teeth. Our patient was thrilled with his result!
%20copy.webp)
%20copy.webp)
We completed this crowding case with about a year of Invisalign treatment. Our patient's main goal was simply keeping her mouth healthy, and she was having difficulty flossing between her lower front teeth. This has become much easier for her now that her teeth are properly aligned!